香港腕表价格交流群

甘谷四维彩超,竟然在这里!!!

2021-08-12 13:41:17

点击上方蓝色字  免费订阅本账号!

美女小编微信:gangu8866


善懿堂

 善 懿 堂 


《国语·晋语四》:“蓄力一纪,可以远矣”。时光荏苒,弹指一挥间善懿堂诊所在甘谷已走过3个年头。经过半年多的筹备,善懿堂诊已正式乔迁至康庄西路康庄佳苑5号楼3号铺面(永盛电器隔壁)。相比较原诊所,新诊所的环境更加宽敞、明亮、整洁,功能区域的划分和分布上更为合理。从即日起开展诊疗服务。欢迎新老患者朋友前来就诊!






善 懿 堂 诊 所 


善懿堂诊所诊疗项目:

中医、内、外、妇、儿科常见病多发病的诊治,四维彩超,腹部及浅表脏器彩超,骨密度,心电图等常规检查。


我们的宗旨是:

以精湛技术为基础,以优质服务为载体,全心全意为病人服务。


给我一份信任  还您一身健康!


健康热线:

18093833819

13893496093

18993821428


地址:

康庄西路康庄佳苑5号楼3号铺面




医师

马长顺,男,中医医师,以中医内科、妇科、常见病多发病的诊治为主。尤其擅长鼻出血、面神经麻痹、皮肤病、颈肩腰腿痛等方面的诊治,具有40多年的临床经验。


医师:

李想丽,女,超声诊断医师,具有执业医师和CDFI医师资格,在某地方医院从事超声工作10余年。曾在兰州大学第一附属医院超声科进修学习。擅长四维超声胎儿畸形筛查、腹部脏器、浅表脏器、妇产科彩超检查。










孕后

顺利生下一个健康的宝宝

成了每一对甘谷准爸爸妈妈的心愿


在漫长的孕期

定期做孕检是必不可少的

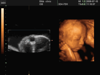
善懿堂诊所四维彩超就是一项重要的产检项目


相比传统的B超

四维彩超能更准确更清楚地检查到

孕妇身体状况和胎儿生长发育情况

还可以更立体的观察到

胎儿在腹中打哈欠、吮手指等有趣的小动作








四维彩超检查时间





      


为了能更准确的检查胎儿是否健康,善懿堂诊所引进了我县首台高端四维彩超,不仅能检查胎儿是否健康,还能为胎儿拍宫内写真,受到了不少准爸妈的青睐。


四维彩超的检查时间有着很大的学问,只有在最佳时间里检查才能获得比较全面的检查效果,一般认为孕20周至28周是四维彩超检查的最佳时间。因为这个时段胎儿的肢体及各主要脏器已经全部发育,而且羊水较适合做胎儿畸形筛查。




....
四维彩超优势
      


1、全方位、多角度观察:四维彩超可以全方位、多角度地了解胎儿在宫内的生长发育状况,能够在早期诊断胎儿先天性身体表面畸形和先天性心脏疾病提供正确的科学依据。


2、健康没有辐射:四维彩色超声诊断仪根据人体工程学设计,没有任何射线、光波和电磁波等一些辐射,不会影响胎儿的健康发育。


3、胎儿体表检查:四维彩超还可以对胎儿的身体表面进行全面的检查,如唇裂,脊柱裂,脑积水,无脑儿,小头畸形,肾积水、心脏先天畸形、骨骼发育不健全等,提供了准确的科学的依据,并能及早的治疗。


4、实时动态活动图像:可以清楚的展示胎儿在宫内的实时动态活动图像。还可以将宝宝的样子以及动作制作成照片或动态视频,那么就可以让宝宝拥有最完整的0岁相册。




无声无息的流行病







骨质疏松作为常见病、多发病,目前已经成为全球性公共健康问题。因此,,并将每年10月20日定为“国际骨质疏松日”,我国已将骨质疏松与糖尿病、老年性痴呆一起列为三大重点攻克医学项目。骨质疏松在早期一般没有症状,故被称为“无声无息的流行病”,所以定期检查骨密度对防治骨质疏松非常必要。



骨密度测量有什么意义


骨密度与骨质疏松的关系:


骨密度为诊断骨质疏松症的重要指标,骨密度值主要决定于遗传因素,其次受环境因素影响。有些老人会认为自己岁数大了,患有骨质疏松症是很正常的,补点钙就行了,用不着做骨密度测量。其实不然,大多数老年人都有骨质疏松症,但每个人患病程度都不一样;您天天补钙,到底有没有补进去,现在您的骨密度到底是多少,做一个骨密度测量,您就会很清楚了:


1、骨质疏松症的诊断——医生利用骨密度测量判断患者是否患有骨质疏松症。早诊断早治疗!


2、骨折风险评估——骨骼矿物质密度(BMD)是预测骨折风险最有力的手段,通过骨密度测量得到您的BMD含量,通过科学的方法分析您发生骨折的可能性有多大,这样您可以做到心中有数。


3、监测BMD的变化——您做了一次骨密度以后,您就拥有一份健康档案,可以对您每一次做的结果进行对比。可以看到对您的治疗是否有效,很方便地监测您的骨密度的变化。





骨质疏松症的常有哪些临床表现


骨质疏松症被称为"静悄悄的流行病",早期的骨质疏松症患者大多数无明显的症状。一般来讲,常见的骨质疏松症临床表现为:



1.疼痛。原发性骨质疏松症的常见症状,以腰背痛多见,占疼痛患者额70%——80%


2. 身高缩短、驼背。多在疼痛后出现,老年人骨质疏松是身长平均缩短3—6cm


3. 骨折。是骨质疏松症最常见的和最严重的并发症。


4.呼吸功能下降。患者往往可出现胸闷、气短、呼吸困难等症状












骨质疏松症任何预防

《骨质疏松防治中国白皮书》建议,我们可以选择健康的生活方式避免骨质疏松的困扰。


每天喝400ml牛奶

多晒10分钟太阳

多走20分钟路

不吸烟

不酗酒

中老年人每年进行骨密度检测





友情链接

Copyright © 2023 All Rights Reserved 版权所有 香港腕表价格交流群